Chapter 2 of 6
Import and Contouring
Import & Localization
Each plan begins with the importing and localization of CT images into the treatment planning system (TPS).
Patient Setup
There are many steps in generating a treatment plan. Each plan starts with the importing and localization of CT images into the treatment planning system (TPS).
After a patient is simulated, the CT dataset is imported into the Treatment Planning System. These images are in DICOM format, and you may hear people refer to the folder storing the images as the DICOM import folder.
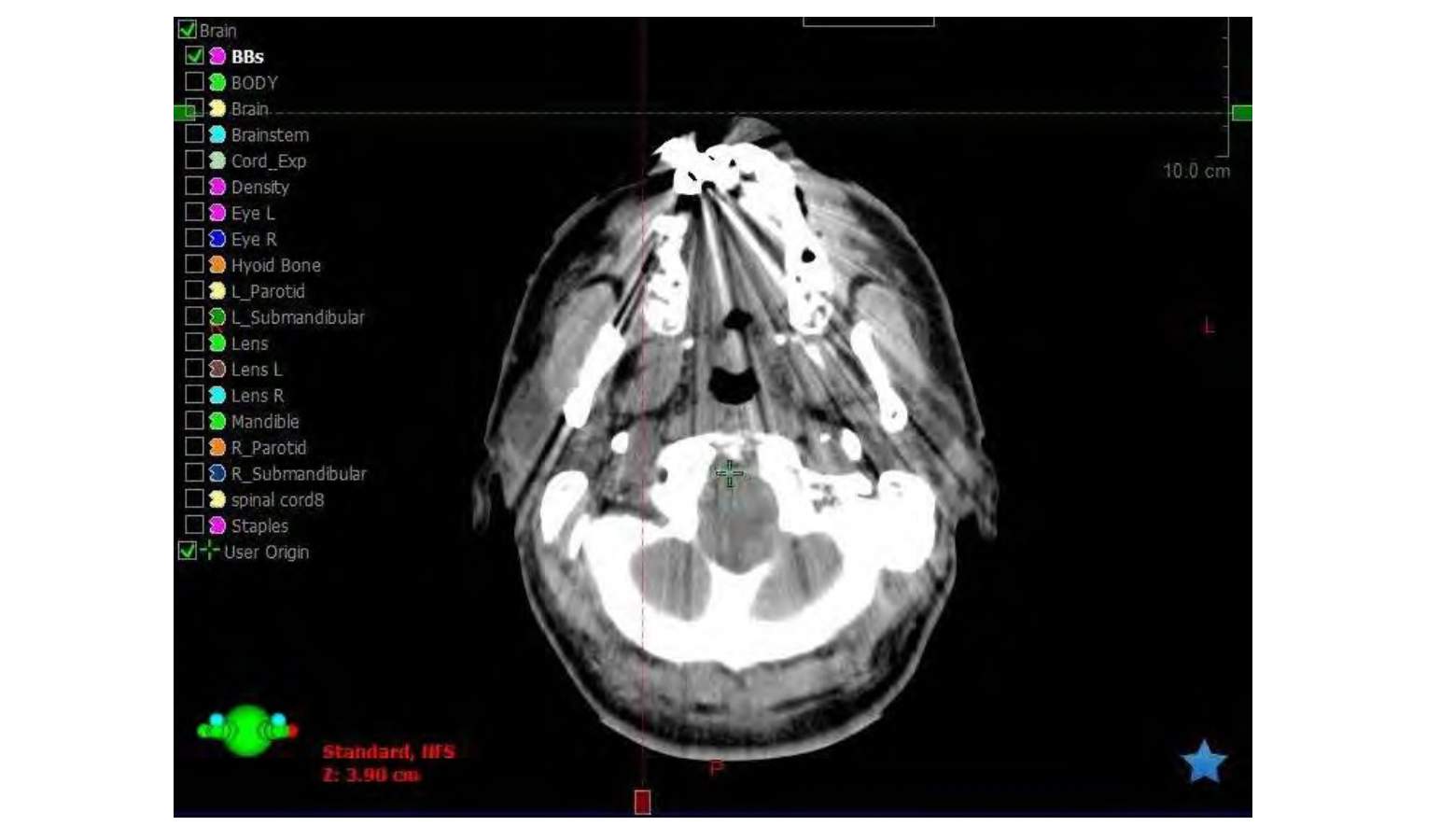
Once imported, the CT scan is used to localize the patient—a system of coordinates and markings is employed to track the patient’s geometric position in space.
At the time of simulation, BBs are often used to mark the setup location in a triangular fashion, typically with three points (anterior and lateral). We will set the user origin or localization at this location.


Set User Origin Eclipse
Next, we will set the user origin for the image, aligning the coordinate systems with the TPS.
To localize the patient, scroll to the slice containing the BBs and set the user origin at the viewing plane intersection.
Set User Origin RayStation
Set User Origin Pinnacle
To “localize” the patient, scroll to the slice where the BBs are visible and set the “User Origin” to the slice where the three markers intersect (viewing plane intersection).
Summary
This workflow can be applied to other treatment sites as well.
Simply import the DICOM images, scroll to the setup marks, and set the user origin to the triangulation location.
Contouring
Here, we will contour the structures relevant to the whole brain radiotherapy (WBRT) treatment plan.
Brain
For the brain contour, we often use the segmentation wizard and refine the structure with post-processing.
Spinal Cord
For the cord contour, we often delineate the spinal canal inferiorly from the foramen magnum down to about C3-C4. Skipping every other slice and interpolating may help speed up the process. Remember to review the contour after using automated tools.
Lens_L
Contour the left lens.
Lens_R
Contour the right lens.
Eye_L
Contour the left eye.
Eye_R
Contour the right eye.
BBs
Contour the BBs.


Any Other Critical Structures?
Contour any additional critical structures relevant to the case.
Density Overrides
If there are artifacts or other materials that need to be overridden, this is an appropriate time to do so.


Summary
Now that we have completed our list of contours, we are ready to begin planning.
Remember to review automated contours and have a second pair of eyes review your contours.
Next: Beam Setup
