Chapter 3 of 6
Beam Arrangement and Placement
Whole brain radiotherapy (WBRT) typically uses lateral opposed fields to treat the entire brain. We will also cover some variations.
Lateral Opposed Fields
Field arrangement: Lateral Opposed.
R_Lat = 270 degrees
L_Lat = 90 degrees


Lateral Opposed Fields (Continued)
In some instances, you may want to spare the lenses. One technique to achieve this is to rotate the gantry approximately 5 degrees (R_Lat = 275 degrees, L_Lat = 85 degrees) to match the divergence behind the lenses. This is illustrated on the left.


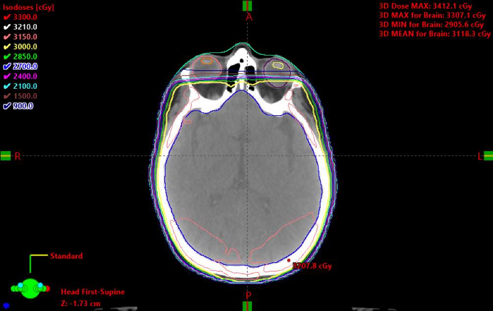
Field Blocking (Non-Scalp Sparing)
Standard field blocking for WBRT is shown in the image. While setting the field borders, keep the following in mind:
- Flash superiorly (for non-scalp sparing plans), anteriorly above the orbits/eyebrows, and posteriorly above the nape of the neck
- Inferior border: typically C1, though this may vary depending on the clinical scenario
- Block eyes and nasopharynx—bring the anterior border to the vertebral body inferiorly
- Ensure adequate coverage of the entire brain, particularly the temporal lobes and cribriform plate


Field Blocking (Scalp Sparing)
A field with blocking to spare the scalp is shown above. The primary difference is that superiorly, the MLCs are adjusted to the outer table of the calvarium. This can help facilitate hair regrowth following WBRT.


Summary
With the setup complete, we will now create a plan similar to the one demonstrated.


Next: Treatment Planning
